Lấy Tủy Răng Sâu: Quy Trình Chuẩn Y Khoa Từ A Đến Z Giúp Bạn An Tâm Điều Trị
Khi sâu răng tiến triển đến mức độ nghiêm trọng, gây viêm nhiễm hoặc hoại tử tủy răng, việc điều trị tủy là giải pháp bắt buộc để cứu lấy chiếc răng đó. Mặc dù cụm từ trám răng lấy tủy đôi khi được sử dụng để chỉ việc vừa trám răng sau khi đã lấy tủy, quy trình chính xác được gọi là điều trị nội nha. Nhiều người vẫn còn e ngại và lo lắng về quy trình này, phần lớn là do chưa hiểu rõ về nó. Tuy nhiên, điều trị tủy là một thủ thuật nha khoa chuẩn y khoa, được thực hiện tỉ mỉ với mục tiêu loại bỏ hoàn toàn ổ nhiễm trùng và bảo tồn răng thật. Để giúp bạn an tâm hơn khi đối mặt với tình trạng này, bài viết sẽ mô tả chi tiết từng bước của quy trình lấy tủy răng sâu chuẩn y khoa, từ A đến Z.

Tổng quan về điều trị tủy (Nội nha):Điều trị tủy là một phương pháp điều trị nhằm loại bỏ phần tủy răng bị viêm nhiễm, hoại tử hoặc đã chết, làm sạch hệ thống ống tủy và trám bít lại để ngăn chặn vi khuẩn tái xâm nhập. Mục đích cuối cùng là bảo tồn răng thật khỏi việc phải nhổ bỏ, duy trì chức năng ăn nhai và thẩm mỹ.Quy trình lấy tủy răng sâu chuẩn y khoa (8 bước chi tiết):
- Bước 1: Thăm khám và chẩn đoán:
- Nha sĩ sẽ hỏi về các triệu chứng của bạn, kiểm tra lâm sàng răng miệng và chụp X-quang.
- Hình ảnh X-quang giúp nha sĩ xác định mức độ sâu răng, tình trạng viêm nhiễm của tủy, cấu trúc và số lượng ống tủy, cũng như phát hiện các tổn thương quanh chóp răng.
- Đây là bước quan trọng để đưa ra chẩn đoán chính xác và lập kế hoạch điều trị phù hợp.
- Bước 2: Gây tê tại chỗ:
- Trước khi tiến hành bất kỳ thao tác nào, nha sĩ sẽ tiêm thuốc tê cục bộ vào vùng nướu xung quanh răng cần điều trị.
- Việc gây tê đảm bảo bạn không cảm thấy đau đớn hay khó chịu trong suốt quá trình lấy tủy.
- Bước 3: Đặt đê cao su:
- Một tấm đê cao su nhỏ sẽ được đặt quanh răng cần điều trị, cách ly răng đó khỏi khoang miệng.
- Mục đích của việc này là giữ cho răng khô ráo, sạch sẽ, ngăn chặn nước bọt và vi khuẩn từ miệng xâm nhập vào ống tủy, đồng thời bảo vệ bệnh nhân khỏi việc nuốt phải các mảnh vụn răng hoặc hóa chất trong quá trình điều trị.
- Bước 4: Mở tủy và tạo hình buồng tủy:
- Nha sĩ sẽ dùng mũi khoan chuyên dụng để tạo một lỗ nhỏ trên bề mặt răng (thường là mặt nhai của răng hàm hoặc mặt trong của răng cửa) để tiếp cận buồng tủy.
- Phần tủy răng bị viêm hoặc hoại tử sẽ được loại bỏ khỏi buồng tủy và các ống tủy.
- Bước 5: Làm sạch và tạo hình ống tủy:
- Đây là bước quan trọng nhất. Nha sĩ sẽ sử dụng các dụng cụ nội nha chuyên biệt (trâm tay hoặc trâm máy) để làm sạch, mở rộng và tạo hình lại toàn bộ hệ thống ống tủy.
- Đồng thời, ống tủy sẽ được bơm rửa liên tục bằng các dung dịch sát khuẩn mạnh (như Natri hypochlorite, EDTA) để loại bỏ hoàn toàn vi khuẩn, mô tủy còn sót lại và các mảnh vụn.

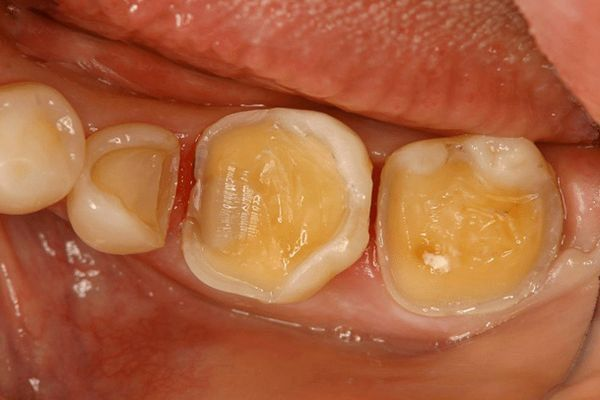
- Bước 6: Trám bít ống tủy:
- Sau khi ống tủy đã được làm sạch và khô hoàn toàn, nha sĩ sẽ tiến hành trám bít.
- Vật liệu trám bít phổ biến nhất là Gutta-percha, một loại vật liệu cao su tự nhiên, kết hợp với chất trám bít dạng xi măng. Vật liệu này được đưa vào để lấp đầy toàn bộ không gian ống tủy, từ chóp chân răng lên đến buồng tủy, ngăn chặn vi khuẩn tái xâm nhập và phát triển.
- Bước 7: Trám tạm hoặc phục hình cùi răng:
- Sau khi ống tủy đã được trám bít, nha sĩ sẽ trám tạm thời lỗ mở trên bề mặt răng hoặc tiến hành phục hình cùi răng (nếu cần đặt chốt hoặc lõi) để bảo vệ răng khỏi nhiễm khuẩn trước khi phục hình cuối cùng.
- Bước 8: Phục hình cuối cùng:
- Trong hầu hết các trường hợp, răng đã điều trị tủy sẽ trở nên giòn hơn do không còn được nuôi dưỡng. Do đó, nha sĩ thường khuyến nghị bọc mão sứ hoặc trám vật liệu phù hợp (tùy thuộc vào mức độ mất mô răng) để bảo vệ răng khỏi bị vỡ và khôi phục chức năng ăn nhai cũng như thẩm mỹ.
Sau khi lấy tủy, bạn có thể cảm thấy hơi ê nhẹ hoặc khó chịu trong vài ngày đầu, nhưng cảm giác này thường giảm dần và biến mất. Quy trình lấy tủy răng tuy phức tạp nhưng rất an toàn và hiệu quả khi được thực hiện bởi nha sĩ có kinh nghiệm. Hiểu rõ quy trình sẽ giúp bạn an tâm hơn khi cần trám răng lấy tủy, bảo vệ răng thật và duy trì nụ cười khỏe mạnh của mình.





















