AI và nha khoa: Công nghệ hỗ trợ dự đoán, điều chỉnh giảm hiệu ứng
Từ khóa chính của bài viết: Công nghệ AI hỗ trợ thần kỳ và điều chỉnh xu hướng ngành sứ ngành nha khoa đang trải qua một cuộc cách mạng mạnh mẽ nhờ sự tiến bộ của công nghệ, đặc biệt là trí tuệ nhân tạo (AI). Trong bối cảnh tình trạng sát hại răng sứ vẫn là một công thức không nhỏ, công nghệ AI hỗ trợ đánh lừa và điều trị mối nguy hiểm đang nổi lên như một giải pháp hứa hẹn, giúp nâng cao độ chính xác, hiệu quả và cá nhân hóa trải nghiệm bệnh nhân.

AI trong bong bóng hoàn thiện dát sứ
Dự đoán chính xác là bước đầu tiên và quan trọng nhất để điều chỉnh kết quả mang lại giá trị ở bất kỳ vấn đề nào và mối nguy hiểm không phải là một ngoại lệ. AI mang đến những khả năng vượt trội trong lĩnh vực này:
- Phân tích hình ảnh X-quang và CT 3D: AI có thể xử lý và phân tích một lượng lớn dữ liệu hình ảnh từ phim X-quang toàn cảnh (panoramic X-ray) hoặc cắt lớp vi tính cụm tia nón (CBCT 3D). Các thuật toán AI được huấn luyện để nhận diện những điều bất thường nhỏ về cấu trúc xương hàm, vị trí phù hợp thái dương hàm, và thậm chí chí chí là các điểm chạm không mong muốn trên răng sứ mà mắt người khó có thể phát hiện. Nhờ đó, bác sĩ có thể giải đáp thắc mắc như răng bị lệch có bọc sứ được không một cách chính xác hơn, đồng thời có cái nhìn toàn diện và chính xác về tình trạng khớp xoáy, đặc biệt là những sai lệch tinh vi.
- Phân tích dấu hàm kỹ thuật số và mẫu hàm 3D: Với sự ra đời của máy quét răng bảo (máy quét nội soi), việc lấy dấu hàm truyền thống tăng dần được thay thế bằng hình ảnh kỹ thuật số 3D. AI xử lý dữ liệu từ máy quét này để tạo ra mô hình răng hàm 3D sống động và chính xác. Hơn nữa, AI có thể phân tích các điểm tiếp xúc giữa răng hàm trên và hàm dưới, mô phỏng chuyển động của hàm khảm (khết động) và mong đợi sự tương thích của ngọc quý trước khi chúng được chế độ. Điều này cho phép bác sĩ và kỹ thuật viên phát hiện sớm các kênh tiềm ẩn ngay trên mô hình ảo, từ đó điều chỉnh kế hoạch phù hợp với chiến lược.
- Nhận các mô hình sai lệch và dự đoán nguy cơ: Bằng cách học từ hàng ngàn ca lâm sàng và thiết lập dữ liệu, các hệ thống máy học (Machine Learning) có thể nhận biết các đặc điểm sai lệch mô hình. Điều này không chỉ hỗ trợ bác sĩ trong công việc mong đợi các trường hợp phức tạp mà còn giúp dự đoán nguy cơ phát triển tình cảm ở những bệnh nhân có yếu tố bẩm sinh hoặc sau các can bong nha khoa nhất định.

Hỗ trợ AI trong quá trình cài đặt và điều chỉnh sai lệch giá trị
Không dừng lại ở kỳ vọng, AI vẫn là một bác sĩ hỗ trợ mạnh mẽ trong suốt quá trình điều trị:
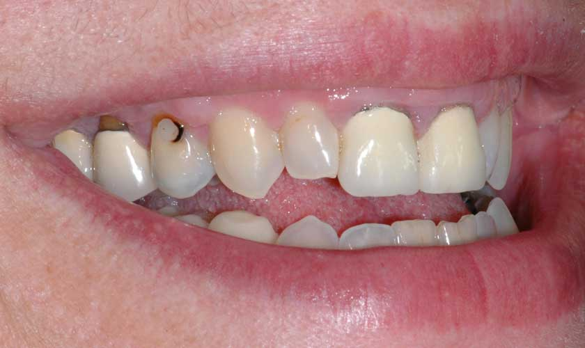
- Thiết kế giáp tối ưu (CAD/CAM tích hợp AI): Phần mềm thiết kế hỗ trợ máy tính (CAD) kết hợp với sản phẩm hỗ trợ máy tính (CAM) đã được nâng cấp cho AI. Dựa trên quét dữ liệu 3D và phân tích ma trận, AI có thể tự động sản xuất thiết kế sứ có dạng, kích thước và đường viền chính xác, tối ưu hóa các điểm tiếp theo và đảm bảo phù hợp với tiêu chuẩn xác thực. Vì vậy, các vấn đề thường gặp như bọc răng sứ bị hở được hạn chế ở mức tối đa, giúp giảm thiểu sai sót đối với con người, cung cấp nhanh quá trình hoạt động và mang lại kết quả vượt trội.
- Phân tích vũ khí và tối ưu hóa điểm tinh: AI có khả năng mô phỏng và phân tích năng lượng trên từng điểm của răng sứ. Bằng cách xác định các khu vực chịu áp lực cao, AI giúp bác sĩ điều chỉnh thiết kế hoặc mài răng sứ để phân bố lực đều hơn. Việc này không chỉ giảm nguy cơ xay sứ mà còn bảo vệ răng thật khỏi quá tải, đồng thời giảm áp lực lên trận thái dương hàm.
- Hỗ trợ đào tạo và nâng cao kỹ năng cho nha sĩ: Các hệ thống AI có thể được sử dụng như công cụ đào tạo tiên tiến, cung cấp phản hồi phục hồi thời gian thực cho các nha sĩ đang thực hành các kỹ thuật như mài cùi răng hay điều chỉnh trận chiến. Điều này giúp nâng cao kỹ năng sẵn có của lâm sàng và chất lượng điều trị đồng thời hơn.
Thử nghiệm và triển vọng dù mang lại nhiều lợi ích, việc phát triển AI trong nha khoa vẫn là đối tượng với một số công thức như chi phí đầu tư ban đầu, yêu cầu về dữ liệu lớn và chất lượng cao để huấn luyện AI, cùng các vấn đề liên quan đến đạo đức và quy định pháp lý. Tuy nhiên, với tốc độ phát triển không ngừng nghỉ, công nghệ AI hỗ trợ kỳ vọng và điều trị vecni mối quan hệ ngày càng trở nên hoàn thiện và sẽ là một phần không thể thiếu của ngành khoa học hiện đại, giúp nâng cao chất lượng dịch vụ và mang lại nụ cười khỏe đẹp cho mọi người.





















