Cách Đọc Cung Răng: Hướng Dẫn Chi Tiết và Toàn Diện Cho Người Mới Bắt Đầu
Bài viết này sẽ hướng dẫn bạn cách đọc cung răng một cách chính xác và đầy đủ, từ khái niệm cơ bản về kỹ thuật đọc cung răng thường được sử dụng trong nha khoa. Hiểu rõ về cách đọc răng giúp bạn giao tiếp hiệu quả với nha sĩ, nắm bắt được trạng thái sức khỏe răng miệng của mình và cơ thể, cũng như hiểu rõ hơn về các phương pháp điều trị nha khoa.

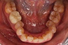
Tôi. Khái niệm về cung răng:
Cung răng là hình dạng cong của răng răng khi nhìn từ phía trước. Cung răng được hình thành nhờ sự sắp xếp của các răng trên cung hàm. Hình dạng cung răng rất đa dạng, phụ thuộc vào nhiều yếu tố như di chuyển, thói quen, và sự phát triển của xương hàm. Việc đánh giá cung răng là một phần quan trọng trong dự đoán và lập kế hoạch điều chỉnh khoa học, đặc biệt là trong nha chỉnh sửa.
II . Các loại cung răng:
Có nhiều cách phân loại cung răng, nhưng thường gặp nhất là dựa trên dạng hình:
- Cung răng hình parabol: Đây là hình dạng cung răng lý tưởng, với đường cong mềm mại và cân đối. Các răng được sắp xếp đều đều, không bị trôi lạc.
- Cung răng hình elip: Cung răng có dạng thon dài hơn so với cung răng parabol.
- Cung răng hình tam giác: Cung răng có hình dạng chu vi, không cân đối. Thường gặp ở các trường hợp xu hướng bị lệch hoặc thiếu răng.
- Cung răng vuông: Cung răng có hình dạng gần giống hình vuông, với các răng được sắp xếp thẳng hàng.
III. Các yếu tố ảnh hưởng đến hình dạng cung răng: Hình dạng cung răng chịu ảnh hưởng của nhiều yếu tố, bao gồm:
- Di truyền: Di truyền đóng vai trò quan trọng trong việc quyết định hình dạng cung răng.
- Thói quen xấu: Các thói quen xấu như rụng tay, chào làn, bảo vệ có thể gây ảnh hưởng đến hình dạng cung răng.
- Sự phát triển của xương hàm: Sự phát triển của xương hàm không đều có thể dẫn đến sự thay đổi hình dạng cung răng.
- Bệnh lý răng miệng: Một số bệnh lý răng như sâu răng, viêm nha chu có thể gây ảnh hưởng đến các dạng cung răng.

IV. Cách đọc cung răng trong nha khoa: Nha sĩ sử dụng nhiều phương pháp để đọc cung răng, bao gồm:
- Quan sát trực tiếp: Nha sĩ quan sát trực tiếp cung của bệnh nhân để đánh giá dạng hình, sự sắp xếp của các loại răng và các loại bất thường khác.
- Chụp X-quang: Chụp X-quang giúp nha sĩ quan sát cấu trúc xương và vị trí của răng răng.
- Mẫu thạch cao: Nha sĩ lấy mẫu thạch cao của cung răng để phân tích chi tiết hơn về hình dạng và sự sắp xếp của răng.
- Phần mềm nha khoa: Các phần mềm nha khoa hiện đại giúp nha sĩ phân tích hình ảnh cung răng một cách chính xác và chi tiết hơn.
Xem thêm: Cung răng
V. Các thông số quan trọng khi đọc cung răng: Khi đọc cung răng, nha sĩ thường chú ý đến các thông số sau:
- Độ rộng của cung: Đo chiều rộng của cung ở các vị trí khác nhau.
- Độ cong của cung răng: Đánh giá độ cong của cung bằng cách đo khoảng cách giữa các điểm trên cung răng.
- Vị trí của các răng: Xác định vị trí của từng răng trên cung răng.
- Mối quan hệ giữa các răng: Đánh giá mối quan hệ giữa các răng trên cung răng, ví dụ như mối quan hệ giữa răng cửa, răng nanh, răng tiền hàm và răng hàm.
- Sự đánh giá của cung răng: Đánh giá sự xứng đáng của cung răng giữa hai bên hàm.
VI. Ứng dụng của việc đọc cung răng: Việc đọc cung răng có nhiều ứng dụng trong nha khoa, đặc biệt là trong:
- Chỉnh nha: Đọc cung răng giúp nha sĩ lập kế hoạch điều chỉnh nha hiệu quả, giúp sắp xếp răng đều đặn và cải thiện thẩm mỹ.
- Phục hình răng: Đọc cung răng giúp nha sĩ thiết kế và chế tạo các loại bảo vệ (như mão răng, cầu răng) phù hợp với hình dạng cung răng.
- Cấy ghép Implant: Đọc cung răng giúp nha sĩ xác định vị trí đặt Implant chính xác, đảm bảo chức năng ăn bột và thẩm mỹ.
VII. Tổng kết:
Hiểu biết về cách đếm răng và đọc cung răng là rất quan trọng để chăm sóc sức khỏe răng miệng tốt. Việc này giúp bạn tiếp tục đạt được hiệu quả với nha sĩ, hiểu rõ tình trạng răng của mình và lựa chọn phương pháp điều trị phù hợp.





















