Một nụ cười đẹp không chỉ đến từ hàm răng trắng sáng đều đặn, mà còn từ sự cân đối của hàm và trận đấu. Trong số các vấn đề về so khớp, so khớp ngược loại 3 là một trong những tình trạng thường gặp nhưng lại ít được hiểu rõ. Vậy, trận đấu ngược loại 3 là gì và nó có ảnh hưởng gì đến ngoại hình, sức khỏe của bạn không? Cùng khám phá giải pháp cho vấn đề này và tìm hiểu con đường để có nụ cười hoàn hảo qua bài viết dưới đây.

1. Ngược Loại 3 Là Gì?
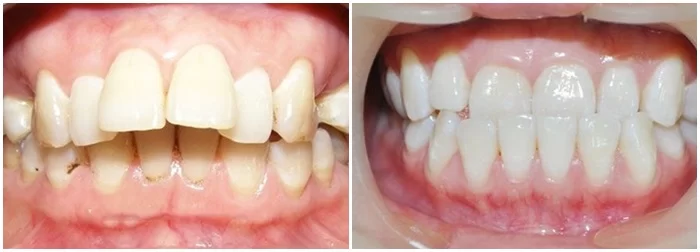
Trùng lặp ngược loại 3 , còn được gọi là sai trận đánh loại 3, là một trạng thái răng cưa dưới phía trước hàm trên khi miệng, tạo nên sự chênh lệch giữa hai hàm. Điều này không gây mất thẩm mỹ mà còn ảnh hưởng đến chức năng ăn lịch và phát âm. Nguyên nhân của trận chiến ngược loại 3 có thể là do yếu tố di chuyển hoặc làm các thói quen xấu như cơn ngón tay, nô lệ quá nhiều khi còn nhỏ. ra too trình, còn được gọi là trạng thái chức năng . Ngoài ra, việc làm giảm động cơ khi cười, trận đấu ngược loại 3 còn gây ra nhiều vấn đề khác như:
- Khó khăn trong quá trình làm việc và tiêu hóa thức ăn.
- Tăng nguy cơ mòn men răng và sâu răng.
- Khó khăn khi phát âm một số âm thanh.
2. Nguyên Nhân Dẫn Kết Hợp Ngược Ngược

Tình trạng nhịp nhịp ngược loại 3 có thể làm nhiều yếu tố khác nhau gây ra, bao gồm:
- Di truyền : Yếu tố di truyền là nhân chủ yếu ý người mắc trận chậm ngược loại 3. Nếu cha mẹ hoặc ông bà mắc phải tình trạng này thì khả năng cao con cháu cũng sẽ bị ảnh hưởng.
- Do mộng : Sự phát triển không đồng đều giữa hàm trên và hàm dưới tạo hàm dưới sự phát triển quá trình và ở phía trước hàm trên.
- Thói quen quen từ nhỏ : Những thói quen xấu từ nhỏ như phấn ngón tay, thở bằng khít hoặc lông tơ dài cũng có thể gây ảnh hưởng đến sự phát triển của móng mài.
3. Giải Pháp Điều Trị Kết Hợp Ngược Loại 3
May mắn thay, tình trạng tương phản ngược loại 3 có thể được điều trị bằng nhiều phương pháp khác nhau, tùy thuộc vào mức độ nghiêm trọng và nguyên nhân gây ra. Dưới đây là một số phương pháp phổ biến:
. Điều Trị Bằng Niềng Răng
Niềng răng là phương pháp điều trị phổ biến và hiệu quả cho trận đấu ngược loại 3, đặc biệt là khi vấn đề chủ yếu xuất phát từ vị trí của răng. Bác sĩ điều chỉnh nha sẽ sử dụng hệ thống lắp đặt và dây điện để chuyển đổi răng sang vị trí chính xác, tạo ra sự cân bằng giữa hai chức năng. Thời gian bảo vệ có thể kéo dài từ 1,5 đến 3 năm tùy theo mức độ nghiêm trọng.
b.Thuật Hàm
Trong trường phù hợp với loại 3, sự phát triển không đồng đều của xương chức năng, chiến thuật điều chỉnh chức năng là phương pháp điều trị hiệu quả nhất. Bác sĩ sẽ tiến hành điều chỉnh lại vị trí của hàm dưới và hàm trên để thiết lập lại sự cân bằng giữa hai hàm. Tuy nhiên, kỹ thuật thường được thực hiện khi bệnh nhân đã qua giai đoạn phát triển, tức là sau khi phần chức năng đã liên tục phát triển.
c. Các Thiết Bị Chỉnh Nha Tạm Thời
Đối với trẻ em đang trong giai đoạn phát triển, các thiết bị điều chỉnh nha tạm thời có thể được sử dụng để điều chỉnh sự phát triển của hàm và răng. Điều này giúp cho sự phát triển không cân đối của xương hàm, giúp trẻ tránh được việc phải dũng thuật sau này.
4. Lợi Ích Của Công Việc Điều Trị Kết Hợp Cắn Ngược
Điều trị hoàn thiện loại 3 không chỉ giúp cải thiện thẩm mỹ khuôn mặt mà còn mang lại nhiều lợi ích cho sức khỏe:
- Cải thiện chức năng sàn : Việc điều chỉnh kết hợp giúp răng và chức năng hoạt động đồng bộ, tăng cường khả năng sống và tiêu hóa thức ăn.
- Giải quyết bệnh răng cưa : Khi trận đấu được điều chỉnh đúng cách, nguy cơ mòn răng, sâu răng và các bệnh răng khác cũng giảm thiểu.
- Tăng cường tự tin : Một hàm răng nở nụ hôn và cười cân đối sẽ giúp bạn tự tin hơn trong giao hàng ngày tiếp theo.
5. Kết Luận
Đối sánh loại 3 là một tình trạng ảnh hưởng không nhỏ đến thẩm mỹ và sức khỏe răng miệng. Tuy nhiên, với những tiến bộ trong ngành nha khoa, việc điều trị tình trạng này đã trở nên dễ dàng và hiệu quả hơn bao giờ hết. Từ chữa răng cho đến cường thuật hàm, mỗi phương pháp đều mang đến cơ hội phục hồi nụ cười hoàn hảo. Nếu bạn đang gặp vấn đề về tốc độ ngược , hãy nhanh chóng tìm đến sự tư vấn của bác sĩ nha khoa để tìm ra giải pháp tốt nhất cho mình.





















