Khi tháo bỏ những chiếc răng sứ kém chất lượng hoặc đã quá cũ, không ít khách hàng phải bàng hoàng trước tình trạng cùi răng thật bên dưới bị đen sạm, bốc mùi hôi và có dấu hiệu mủn nát. Điều này thường dẫn đến sự hoang mang liệu trồng răng sứ có tháo ra được không để phục hồi lại hay buộc phải nhổ bỏ hoàn toàn chiếc răng đó. Đây là một thử thách lớn đối với bác sĩ nha khoa phục hồi, đòi hỏi quy trình xử lý tỉ mỉ để giữ lại chân răng thật cho bệnh nhân.

Khi lớp xi măng gắn kết giữa răng sứ và răng thật bị thoái hóa, mất độ bền hoặc răng sứ không còn ôm khít sát thân răng, thức ăn rất dễ mắc kẹt tại những vị trí này. Theo thời gian, các mảnh thức ăn bị giữ lại sẽ lên men, tạo ra môi trường axit lý tưởng cho vi khuẩn phát triển. Axit này liên tục bào mòn men răng và ngà răng bên trong, khiến cùi răng bị phá hủy từng chút một mà người bệnh hầu như không nhận ra.
Đáng lo ngại hơn, quá trình mục nát này thường diễn ra trong trạng thái “im lặng”. Lớp răng sứ bên ngoài đóng vai trò như một lớp che chắn, làm giảm hoặc triệt tiêu cảm giác đau nhức vốn là tín hiệu cảnh báo sớm của răng thật. Vì vậy, nhiều bệnh nhân chỉ phát hiện vấn đề khi cùi răng đã tổn thương nghiêm trọng, thậm chí viêm nhiễm lan đến tủy răng hoặc gây mùi hôi khó chịu trong khoang miệng.
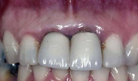
Nguyên nhân chính dẫn đến tình trạng cùi răng bị mục nát thường là do sự xâm nhập của vi khuẩn thông qua các khe hở giữa răng sứ và răng thật. Khi xi măng gắn kết bị thoái hóa hoặc răng sứ không đạt độ khít sát, thức ăn sẽ bị kẹt lại và lên men thành axit, âm thầm phá hủy men răng bên trong mà bệnh nhân không hề hay biết do cảm giác đau đã bị che lấp bởi lớp sứ. Ngoài ra, việc sử dụng các loại răng sứ kim loại giá rẻ thường gây ra tình trạng bọc răng sứ bị đen chân răng do sự lắng đọng các ion kim loại vào mô cứng của răng, khiến cùi răng chuyển sang màu xám đen mất thẩm mỹ.

Bên cạnh đó, việc sử dụng răng sứ kim loại giá rẻ cũng là một yếu tố góp phần làm cùi răng xuống cấp nhanh hơn. Theo thời gian, các ion kim loại trong khung sườn có thể bị oxy hóa và lắng đọng vào mô cứng của răng, gây ra hiện tượng đen viền nướu, đen chân răng. Không chỉ ảnh hưởng nặng nề đến thẩm mỹ, sự biến đổi màu sắc này còn phản ánh tình trạng cùi răng đang bị tác động tiêu cực từ bên trong, tiềm ẩn nguy cơ mục rỗng và suy yếu cấu trúc răng thật.
Để giải cứu những cùi răng này, bác sĩ sẽ tiến hành nạo bỏ toàn bộ các mô răng bị sâu và mềm mủn. Sau khi mô răng lành mạnh được lộ ra, nếu phần thân răng còn lại quá ít, kỹ thuật đóng chốt sợi (post) vào ống tủy sẽ được thực hiện để làm giá đỡ. Tiếp theo, bác sĩ sử dụng vật liệu tái tạo cùi (core build-up) chuyên dụng để xây dựng lại hình dáng cùi răng chuẩn. Quy trình này giúp gia cố sức mạnh cho chân răng, tạo nền tảng vững chắc để bọc lại một lớp sứ mới chất lượng hơn.
Tuy nhiên, trong những trường hợp mô răng bị hủy hoại sâu xuống dưới nướu hoặc chân răng bị nứt dọc, việc giữ lại răng sẽ trở nên bất khả thi. Lúc này, cấy ghép Implant sẽ là giải pháp thay thế tối ưu. Do đó, việc phát hiện sớm các dấu hiệu bất thường để tháo sứ và xử lý kịp thời là vô cùng quan trọng để bảo tồn răng tự nhiên.
Khoa học nha khoa hiện nay có thể phục hồi ngay cả những ca răng bị hư tổn nặng nề nhất. Vậy cùi răng thật sau khi tháo sứ bị đen hoặc mủn thì có còn bọc lại sứ được nữa không? Câu trả lời là vẫn có thể giữ lại được nếu chân răng còn vững chắc và được điều trị đúng cách bằng kỹ thuật tái tạo cùi; hãy tìm đến các địa chỉ uy tín để được thăm khám và đưa ra phương án bảo tồn tốt nhất cho hàm răng của bạn.